טיפים קלינים

שמירה על תוצאות הטיפול

כיצד תשמור את שינייך ישרות לאורך זמן?

החלק הפעיל של הטיפול הסתיים והשיניים והלסתות הגיעו למצב אליו תוכנן או למקום האופטימאלי ביותר האפשרי. בשלב זה, הנך נכנס/ת לשלב הרטנציה (אחזקה). הרופא/ה יעשה את כל שביכולתו למנוע תזוזת שיניים ולסתות (במידה והמתרפא/ה עדיין בתקופת גדילה- גיל העשרה). ישנם מגון רב של מכשירים אורתודונטים המשמשים לרטנציה, חלקם  ניידים הנשלפים מן הפה וחלקם קבועים המודבקים לשיניים.

קרא עוד »

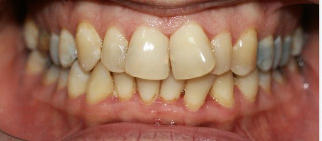
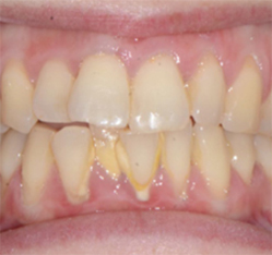
צפיפות שיניים

צפיפות מוגדרת כאשר ישנה חפיפה בין שיניים (האחת על גבי השנייה) ולרוב, רוחב קשת השיניים קטן מרוחב השיניים

קרא עוד »

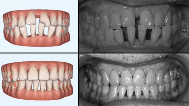
תכנון תלת ממדי של הטיפול האורתודונטי

Suresmile
שורסמייל, השיטה היחידה בה יש לאורתודונט יכולת לשלוט ולתכנן את כל התנועות האורתודונטיות בצורה מדויקת באמצעות כל סמך שהוא בוחר ובכל גישה, (סמכים חיצוניים או סמכים פנימיים או שילוב בין שיטות טיפול).

שורסמייל היא הטכנולוגיה המתקדמת ביותר שישנה כיום בעולם לתכנון מדויק ולהשגת תוצאות אופטמאליות בטיפול האורתודונטי.

 שיטה זו פועלת כעשור בארה"ב.

קרא עוד »

מהו טיפול אורתודונטי ל"ילד חריג"?

ילדים חריגים בעלי תווי פנים אופייניים, שמגדירים אותם כחריגים גם בעיני הקהל הרחב ללא צורך בעין מקצועית. חולשה של שרירים היא תופעה שמאפיינת הרבה ילדים חריגים ויחד עם האי התאמה בין הלסתות גורמת ללעיסה, בליעה ודיבור מופרעים, והצטברות מוגברת של רובד בעיקר סביב צווארי השיניים. רמת ההיגיינה אוראלית ירודה בד"כ יותר בילדים חריגים לעומת ילדים בריאים, וכתוצאה מכך יש עליה ברמת העששת ומחלות החניכיים. תנוחת הלשון הלא נכונה, הנלווית פעמים רבות למנח פה פתוח אופייני, היא תוצאה של השרירים הרפויים , אך גם של נשימת הפה שנפוצה בחלק מהמקרים בגלל דלקות חוזרות בדרכי הנשימה. ריור יתר מופיעה בשכיחות גבוהה, בעיקר בשל בליעה לא תקינה של הרוק, והוא גורם למראה שדוחה ומרחיק את הסביבה.

קרא עוד »

מיהו מומחה ?

מומחה ליישור שיניים ולסתות (אורתודונט) בישראל הינו רופא שיניים בעל רשיון עבודה תקף שלמד בתכנית התמחות בארץ או בחו"ל במוסד המוכר על ידי המועצה המדעית של ההסתדרות לרפואת שיניים ועבר את בחינות ההתמחות מטעם משרד הבריאות. 

קרא עוד »

שיני בינה – המיתוס והאמת…

מחקרים רבים בדקו בשנים באחרונות את הקשר בין בקיעת שיני הבינה לבין הצטופפות השיניים הקדמיות (תופעה הנקראת "הצטופפות מאוחרת"). המסקנה החד משמעית כיום היא שתופעת ההצטופפות קיימת גם כאשר אין שיני בינה בכלל והלחץ שהשיניים האלו מפעילות בזמן בקיעתן אינו גורם ל"דחיפה" של השיניים החותכות.

קרא עוד »

טיפול בפלואור

הפלואוריד מסייע בחיזוק שכבת האמייל החיצונית של השן, והופך אותה לעמידה בפני עששת. עששת  ראשונית שמתחילה להיווצר יכולה להיעצר ואף להתהפך באמצעות תהליך רה- מינרליזציה בתוספת פלואוריד לשן.

קרא עוד »

הכנה לשתלים

במבוגרים הזקוקים להשתלת שיניים עקב עקירה או חסר של שיניים קבועות, ישנה פעמים רבות בעיה של מקום לביצוע השתל. 

קרא עוד »

עקירות שיני חלב

במהלך בקיעת השיניים יפנה האורתודונט לעיתים קרובות להוצאת שיני חלב טרם זמנם ע"מ לעזור לשיניים הקבועות שנמצאות לעיתים בהטיה ולא בכיוון הבקיעה הרצוי, לבקוע למקומן ללא צורך בטיפול נוסף.

קרא עוד »

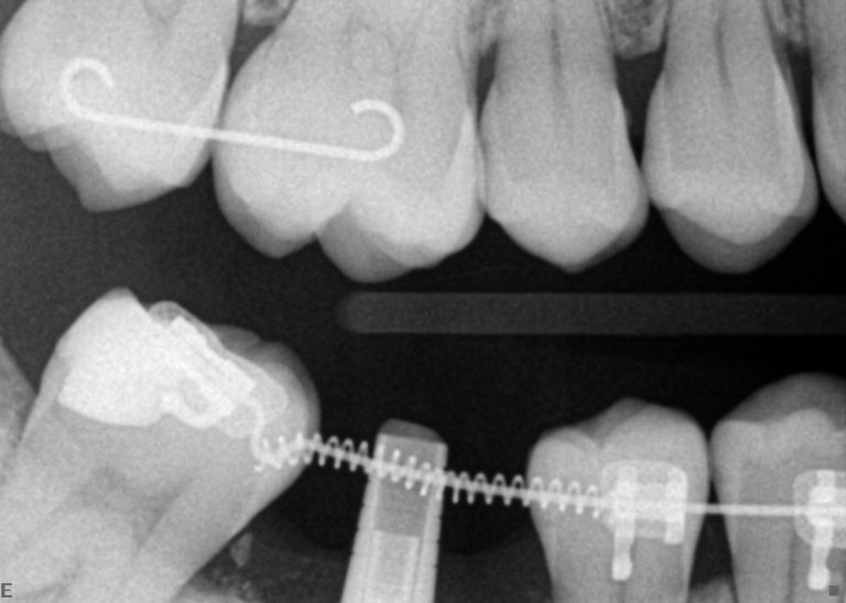
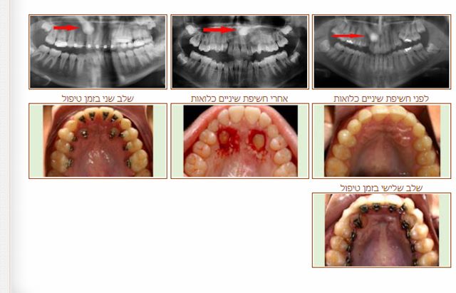
שן כלואה

שיניים כלואות הן שיניים המאחרות לבקוע זמן רב מעל הגיל הממוצע לבקיעתן. הסיכויים לבקיעתם הטבעית של שיניים כלואות הם נמוכים באופן כללי.

קרא עוד »

באיזה גיל מומלץ לבצע טיפול אורתודונטי?

עקרונית ניתן לבצע טיפול אורתודונטי בכל גיל, כל עוד יש שיניים ומצב האחיזה שלהן תקין. אולם השפעה על גדילת הלסתות אפשרית רק כאשר המתרפא גדל. שלבי ההתפתחות של הלסתות עוקבים באופן כללי אחרי שלבי ההתפתחות של השלד כולו.

קרא עוד »

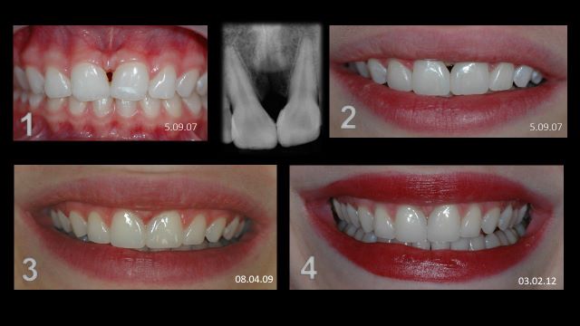
מהי אורתודונטיה אסתטית

בשנים האחרונות חלה עלייה במודעות לטפולים אורתודונטים אצל מבוגרים. הטפול האורתודונטי המסורתי בסמכים מתכתיים ("ברזלים") המורכבים על השיניים חודשים ואף שנים, מרתיע רבים המעוניינים בשיפור המראה האסטטי של שיניהם וחיוכם.

קרא עוד »

אורתודונטיה אסתטית למבוגרים

קיימות כיום מספר שיטות חדשניות ליישור שיניים במבוגרים שפותחו מתוך מודעות לחשיבות האסטטיקה לא רק בתום תהליך יישור השיניים אלא גם במהלכו והן מתאימות במיוחד לטיפול במבוגרים. השיטות כוללות סמכים שקופים המודבקים בחלק החיצוני של השיניים, סמכים בלתי נראים המודבקים בחלק הפנימי של השיניים (אורתודונטיה לינגוואלית) וקשתיות שקופות מסוגים שונים המורכבות על השיניים וניתנות להסרה.

קרא עוד »

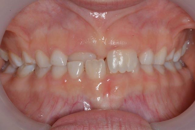
מנשך הפוך

ליקוי האופייני לילדים בעלי מבנה גנטי מולד של לסת צרה או בעיה התפתחותית הנובעת כתוצאה מתת התפתחות של הלסת העליונה עקב נשימת פה וחסימת דרכי הנשימה באף.

קרא עוד »

מנשך פתוח

מנשך פתוח נגרם לרוב כתוצאה משילוב של מספר גורמים בהם לסתות מוצרות, נשימת פה, דחיפת לשון ועמדה לקויה של שיניים.

קרא עוד »

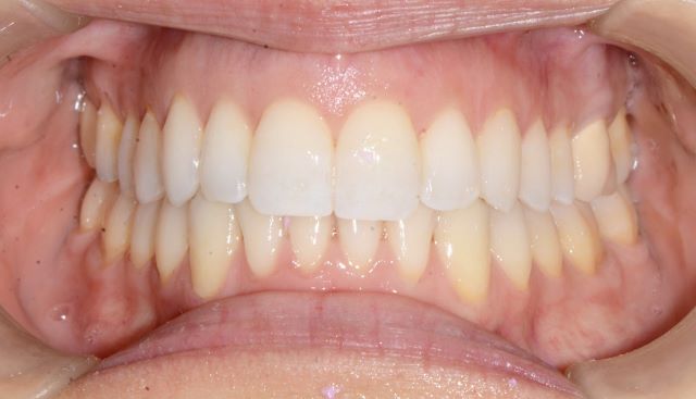
מנשך תקין

מנשך שבו השיניים בלסת העליונה ובלסת התחתונה,נפגשות האחת מול השנייה(ראה תמונות מצורפות).

קרא עוד »

הנני מעוניין/ת להירשם לניוזלטר לקבלת טיפים

דילוג לתוכן