hygienist

אחרי 14 שנה, קסניה השיננית האהובה שלנו מסיימת לעבוד במרפאה החל מחודש יולי 2023,  וממשיכה לכיוונים אחרים. אנחנו מאחלים לה בהצלחה בכל אשר תלך! 
טיפולי השיננית מחודש יולי יבוצעו על ידי ד"ר ליהי קרן והשיננית עמית אברמוב. 

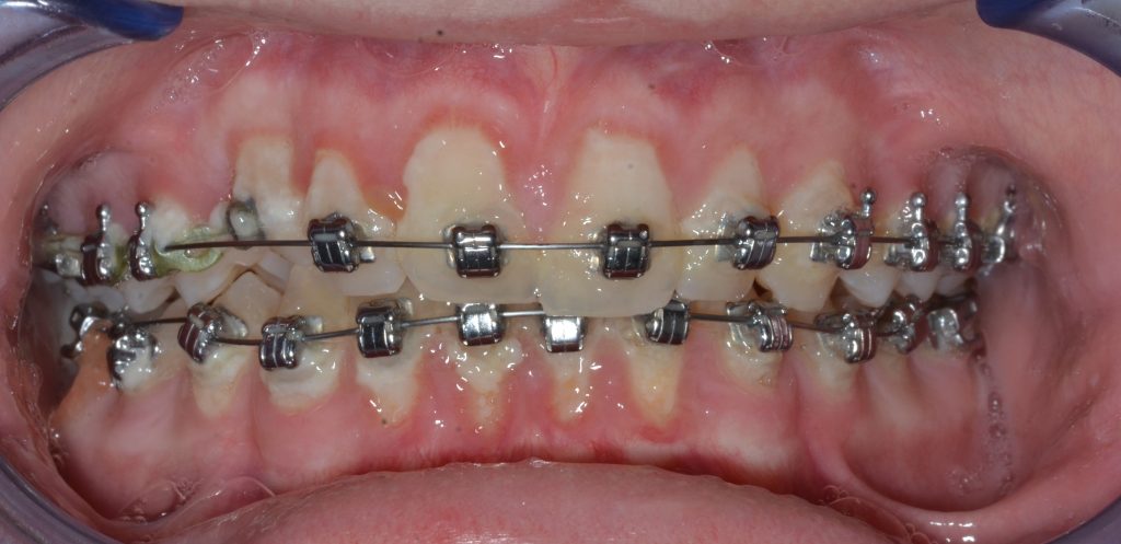
טיפול אורתודונטי משלב תזוזות שיניים המשפיעות באופן ישיר על העצם  והחניכיים העוטפים אותן. יש חשיבות רבה לשמירה על התנאים הטובים ביותר הדרושים לתזוזה ולמניעה של נזקים בלתי הפיכים. לכן, ההמלצה החד משמעית בכל העולם הוא לבצע תחזוקה שוטפת על ידי שיננית או רופא/ת שיניים אחת לחודש עד שלושה חודשים, תלוי במקרה ובמטופל. 

על מנת להבטיח את הרציפות של הפגישות להסרת אבנית ולשיפור ההיגיינה האורלית, מרפאתנו מאפשרת למטופלים לרכוש חבילות של טיפולי שיננית שעוזרות להוזיל את מחיר כל ביקור. ניתן כמובן לשלב את הניקוי עם הביקורת אצל ד"ר רומנו על מנת לבצע את שניהם באותו זמן ובכך להמנע משני תורים במועדים שונים. 

ד"ר ליהי קרן

רופאת שיניים, בוגרת הפקולטה לרפואת שיניים באוניברסיטת תל אביב שנת 2020. עוסקת בהדרכת סטודנטים ללימודי רפואת שיניים ומרצה בתוכנית ההכשרה ללימודי שיננות באוניברסיטת תל אביב. ליהי מבצעת במרפאה, טיפולי הסרת אבנית (שיננית),  הדבקת ״Attachments״ לקשתיות שקופות, הורדת מכשור קבוע, קיבועים, הסברים על תוכניות הטיפול למטופלים ועוד. בנוסף, עוסקת במספר מחקרים הקשורים בשכיחות הופעת הפרעות טמפורומנדיבולריות, בין היתר אצל מטופלים עם ליקויי סגר חמורים העומדים בפני ניתוח אורתוגנטי.

עמית אברמוב

סייעת רופא שיניים משנת 2011. שיננית, בוגרת אוניברסיטת תל אביב משנת 2018. עובדת מזה מספר שנים במרפאות של בכירי המומחים לחניכיים בארץ ובעלת ניסיון רב. עמית הצטרפה למרפאתנו לאחרונה והיא מבצעת במרפאה, טיפולי הסרת אבנית (שיננית),  סריקות תלת ממד, הדרכות למטופלים, הסברים על תוכניות הטיפול ועוד.

חבילת טיפולי שיננית

(למטופלים ולבני משפחותיהם בלבד)
320 לטיפול חד פעמי
  • 850 ש"ח לחבילה של 3 טיפולים (283 ש"ח לכל טיפול)
  • 1100 ש"ח לחבילה של 4 טיפולים (275 ש"ח לכל טיפול)
  • 1200 ש"ח לחבילה של 5 טיפולים (240 ש"ח לכל טיפול)
תקף ליוני 2023

הסמכים המודבקים על גבי השיניים מהווים מצע לחיידקים ולרובד (פלאק). החניכיים מגיבים לרוב בנפיחות ובדלקת ובמצב כזה, לא רק שלא ניתן להמשיך בטיפול האורתודונטי, אלא לעיתים יש גם להפסיקו. יש להקפיד על הניקוי היומיומי של השיניים במברשת ובשאר אמצעי הניקוי כפי שמפורט בסרטון בתחתית העמוד. 

ניקוי שיניים והסרת כתמים. במרפאתנו אנחנו עושים שימוש במכשור מתקדם מסוגו בעולם AQUACARE. המכשיר שפותח באנגליה מסיר כתמים מזגוגית השן מבלי לפגוע בה, עוזר להחליק את משטחי השן לאחר הורדת סמכים (ברזלים) או הורדת אטצ'מנטס (שמודבקים בקשתיות שקופות). 

כשירות למטופלים, אנחנו מבצעים בסיום הטיפול האורתודונטי הלבנה ביתית באמצעות ערכה להלבנה ביתית של אחת החברות המובילות בעולם בתחום, באחוז נמוך (16%) לבעלי רגישות גבוהה לחום וקור או באחוז גבוה (22%) לכאלו שאין להם רגישות. ההלבנה נעשית רק למטופלים של המרפאה ורק לאחר בדיקה מקיפה שכוללת צילומי רנטגן. 

לצפיה בסרטון הסבר אודות השמירה על הגיינת הפה והשיניים במהלך הטיפול האורתודונטי, לחץ כאן…

הנני מעוניין/ת להירשם לניוזלטר לקבלת טיפים

דילוג לתוכן