יישור בשילוב רופא משקם
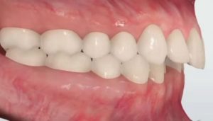
טיפול אורתודונטי במבוגרים כרוך פעמים רבות במעורבות של רופא משקם הן בשיפור מראה השיניים והן בכנה לקראת שיקום ע"י שתלים.
טיפול אורתודונטי במבוגרים כרוך פעמים רבות במעורבות של רופא משקם הן בשיפור מראה השיניים והן בכנה לקראת שיקום ע"י שתלים.


במבוגרים הזקוקים להשתלת שיניים עקב עקירה או חסר של שיניים קבועות, ישנה פעמים רבות בעיה של מקום לביצוע השתל.

מנשך עמוק או בשם הלועזי DEEP BITE הוא ליקוי סגר המתבטא בכיסוי מלא או כמעט מלא של החותכות התחתונות על ידי החותכות העליונות

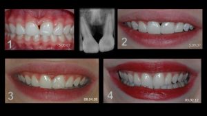
שיפור מראה שיניים קדמיות ללא אורתודונטיה. השלמות אסטתיות


הפלואוריד מסייע בחיזוק שכבת האמייל החיצונית של השן, והופך אותה לעמידה בפני עששת. עששת ראשונית שמתחילה להיווצר יכולה להיעצר ואף להתהפך באמצעות תהליך רה- מינרליזציה בתוספת פלואוריד לשן.

מחקרים רבים בדקו בשנים באחרונות את הקשר בין בקיעת שיני הבינה לבין הצטופפות השיניים הקדמיות (תופעה הנקראת "הצטופפות מאוחרת"). המסקנה החד משמעית כיום היא שתופעת ההצטופפות קיימת גם כאשר אין שיני בינה בכלל והלחץ שהשיניים האלו מפעילות בזמן בקיעתן אינו גורם ל"דחיפה" של השיניים החותכות.


מרגישים שהשיניים אינן נעות למקום, שן, שן אחת מתקדמת מהר מרעותה, המצב הולך "ומחמיר" ונוצרת בעיה אסתטית. מה עושים?