


כאן תוכלו לראות סרטונים להוראות שונות לאחר קבלת מכשורים אורתודונטים


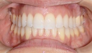
אחת התופעות עליהן מתלוננים רוב המתרפאים ממוצא אירופאי היא בליטה של השיניים הקדמיות העליונות.

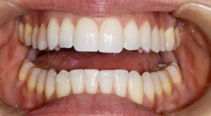
ניתוח האורתו-כירורגי הינו מיקום מחדש של הלסתות מצד אחד ושל השיניים מצד שני תוך יצירת יחס נכון יותר, הן תפקודי והן אסתטי בין הלסת העליונה והתחתונה, דבר שיאפשר מיקום נכון של השיניים במנשך תקין.


השיוף נעשה לצורך השגת מקום ליישור שיניים צפופות כאשר לא מעוניינים לעקור שיניים.

פעולה ניתוחית בה חותכים את הסיבים השטחיים שמחברים בין השן והחניכיים במטרה להקטין את הנטייה לחזרתה של השן למקומה המקורי לפני התזוזה האורתודונטית.

במקרים בהם ישנה צפיפות גדולה מאוד של שיניים ו /או בליטה גדולה שלהן כלל הטיה אלכסונית שגורמת לליקוי אסתטי יפנה האורתודונט את המתרפא/ה לעקירות שיניים קבועות.
