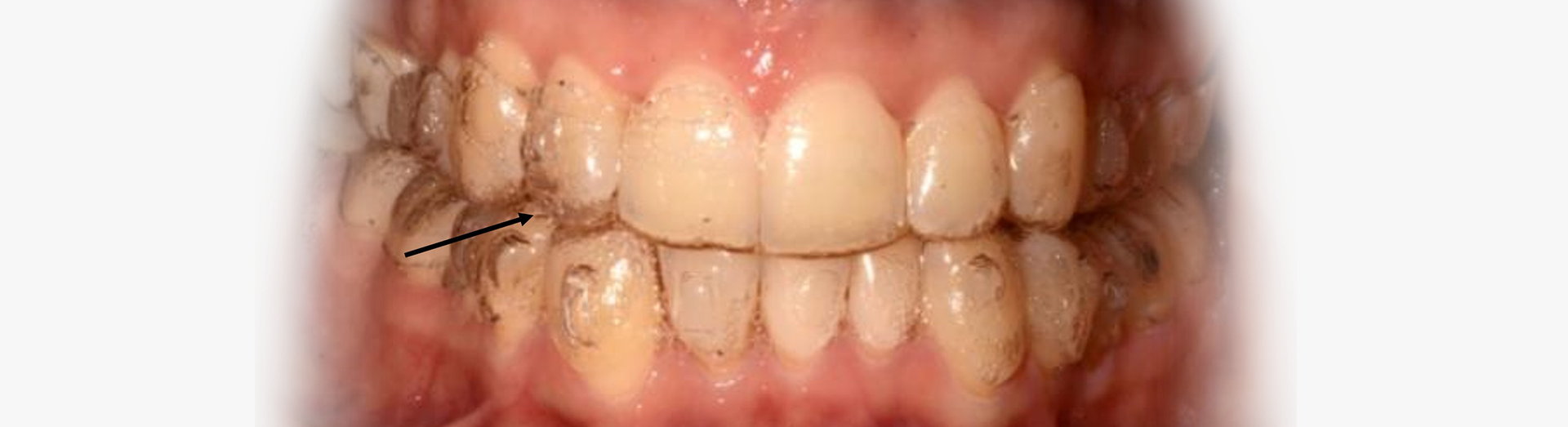
קשתית שקופה לא מתאימה

חוסר התאמה בין הקשתית לשיניים מתבטאת בכך שהקשתית אינה נכנסת בשלמותה על גבי השיניים ונוצר מרווח שאינו אסתטי וכן כאב יוצא דופן בזמן הכנסתה. 

תופעה זו יכולה לנבוע מפגם בייצור הקשתית או מחוסר הרכבה קפדני של הקשתיות הקודמות. 

במקרה כזה יש להפסיק את השימוש בקשתית. במידה וישנה קשתית קודמת יש להמשיך בהרכבתה עד ליצירת קשר עם מרפאתנו וקבלת הוראות מתאימות. 

לעיתים נוכל להציע פתרון שאינו מצריך הגעה למרפאה ולכן מומלץ לבקש מהמזכירה, להתייעץ עם הסייעות או עם ד"ר רומנו אישית.

הנני מעוניין/ת להירשם לניוזלטר לקבלת טיפים

דילוג לתוכן