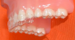
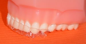
קשתית שקופה אבדה/נשברה

במקרה וקשתית הלכה לאיבוד או נשברה (כמתואר בתמונות) ויש ברשותך קשתיות נוספות, ניתן לעבור לקשתית הבאה שלרוב תכנס לפה בעזרת לחץ קל, ולהרכיב אותה כשבועיים לפני המעבר לקשתית נוספת.

במידה והקשתית החדשה מפעילה לחץ רב, ניתן לחזור אחורה לקשתית הקודמת, להרכיב אותה כשבוע נוסף ואז "לדלג" לקשתית הבאה בתור. 

בכל מקרה מומלץ ליידע אותנו על כל אבדן או חוסר התאמה מסוג זה. 

במקרה שלא יימצא פתרון יצירתי זה או אחר נאלץ להזמין עבורך (בתשלום נוסף) קשתיות חדשות להחלפת אלו שהלכו לאיבוד.  

הנני מעוניין/ת להירשם לניוזלטר לקבלת טיפים

דילוג לתוכן