עקירת שיניים קבועות

במקרים בהם ישנה צפיפות גדולה מאוד של שיניים ו/או בליטה גדולה שלהן שכוללת הטיה אלכסונית שגורמת לליקוי תפקודי ואסתטי יש צורך לעיתים בעקירת שיניים קבועות. 

כמות המקרים בהם האורתודונט מפנה לביצוע עקירת שיניים קבועות ירדה משמעותית בשנים האחרונות בגלל פתרונות שונים המייתרים את הצורך בעקירות כגון תנועת השיניים אחורה תוך פינוי מקום לתזוזה של השיניים הקדמיות הבולטות, הורדת חומר שן מינימאלית שמאפשרת ניצול המקום לפיזור הצפיפות, שתלים אורתודונטים המספקים עיגון לתנועות השונות ועוד.  

השיניים השכיחות ביותר שנעקרות לצרכים אורתודונטים הן המלתעות (פרמולרים), שיניים מס' 4 או מס' 5 בקשת,  וכן לעיתים חותכת תחתונה. 

לעיתים יבחר האורתודונט בשיניים אחרות בהתאם למצבן הדנטאלי ולצרכי הטיפול. המקום של השן שנעקרה ייסגר על ידי האורתודונט בצורה שבה לא יהיה ניתן להבחין שחסרה שן או שיניים.

עקירת שיניים קבועות 4
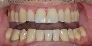
עקירת שיניים קבועות 3
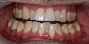
עקירת שיניים קבועות 2
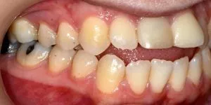
עקירת שיניים קבועות 1

הנני מעוניין/ת להירשם לניוזלטר לקבלת טיפים

דילוג לתוכן