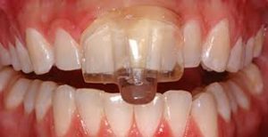
סד לילה

סד לילה הינו סוג של קשתית או מכשור אחר שנשלף מן הפה ואשר מורכב בלילה בלבד במהלך השינה. 

הסד נועד למנוע מגעים בין השיניים אצל אנשים שחורקים או מהדקים שיניים וע"י כך מונע או מפחית את הנזק לשיניים ולמפרק הלסת.  

הסד מהווה אחד מאמצעי הטיפול במצבים שונים ברפואת שיניים דוגמת כאב והפרעות תיפקודיות במערכת הלעיסה (Temporomandibular Disorders –TMD) , שחיקת שיניים בשינה Bruxism ועוד. 

הסד הסגרי מוצע כטיפול גם במסגרת הרפואה הכללית בכאבי ראש כולל מיגרנות, בהפרעות תנועה שונות בשינה, כאמצעי הגנה על המשנן והרקמות הרכות במצבים פתולוגיים שונים דוגמת אפילפסיה וכהגנה על השיניים בספורט.

האורתודונט יוכל לרוב לתת סד לילה למטופל אולם במקרים בהם יש כאבי מפרק ובעיות תפקודיות מומלץ לפנות למומחה לשיקום שיתאים את הסד בצורה מיטבית לסגר ולעמדה התקינה והרצויה של מפרקי הלסת.

הנני מעוניין/ת להירשם לניוזלטר לקבלת טיפים

דילוג לתוכן