מקרה 99 Case

הקיבוע מחזיק את החלק הקידמי של השיניים ברמת הכותרות מבלי להשפיע בהכרח על מיקום השורש. נהפוך הוא. לעיתים הוא יוצר כוח נגדי כמו במקרה הזה שגורם לשורש לצאת ממעטפת העצם. TORQUE איטי בשורש השן יחד עם קשתיות שקופות תרמו לתיקון מיקום השורש של שן 41. חובה להמשיך להשתמש בקשתית השקופה בתור קיבוע פעיל עם לחץ על שורש השן במשך הרבה שנים.

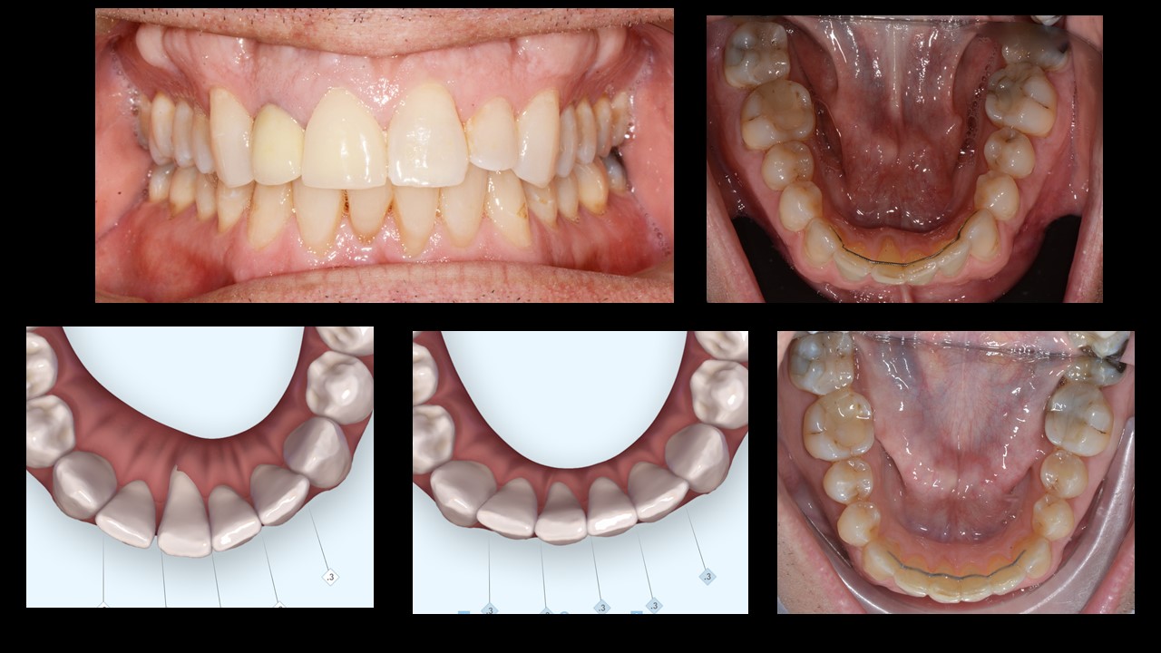
The fixed retainer holds the anterior segment at the crown level but has no effect on the root position. On the contrary, in some cases it creates a negative force on the root as seen in this case. Slow root torque on the tooth and clear aligners helped to correct the position of tooth #41. It is essential to continue to use the clear aligner as an active retainer for many years.

הנני מעוניין/ת להירשם לניוזלטר לקבלת טיפים

דילוג לתוכן