מקרה 100 Case

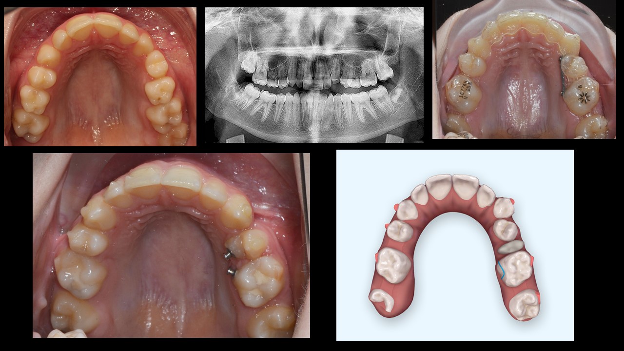
אחד המכשולים העיקריים עם קשתיות שקופות הוא תנועת הרוטציה. כפי שנראה במקרה הזה, הקשתיות השקופות נעזרו בכפתורי מתכת בצר הפלאטלי אשר בשילוב עם הקשתית לעיגון של השיניים האחרות, עזרו לביצוע הרוטציה בזמן קצר מאד.

One of the main obstacles with clear aligners is rotation. As seen in this case, clear aligners which are combined with buttons on the palatal side will help to execute the rotation in a very short time.

הנני מעוניין/ת להירשם לניוזלטר לקבלת טיפים

דילוג לתוכן