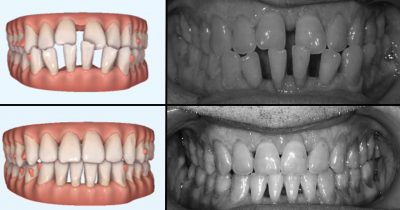
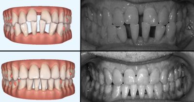
טיפול משולב עם מומחה לחניכיים

טיפול אורתודונטי כולל הזזת השיניים בתוך מעטפת העצם וכרוך בתהליכי ספיגה ובניה של עצם מסביב לשן הזזה.

באופן טבעי כאשר יש מחלת חניכיים ו/או אובדן תמיכת עצם, יש להקפיד על שיתוף פעולה הדוק וצמוד עם מומחה לרפואת חניכיים שיתווה את הדרך הנכונה, העיתוי והקצב וכמובן המעקב בזמן הטיפול.

ישנם מצבים בהן מומלץ לבצע תוספת של עצם ורקמת חניכיים לפני תחילת הטיפול האורתודונטי ולעיתים אף להמתין מספר חודשים לפני תחילת הטיפול על מנת לקבל את אישורו של מומחה החניכיים לביצוע התנועות האורתודונטיות המתוכננות.

טיפול משולב עם מומחה לחניכיים

הנני מעוניין/ת להירשם לניוזלטר לקבלת טיפים

דילוג לתוכן