אודות ד"ר רפי רומנו

ד"ר רפי רומנו הינו בוגר הפקולטה לרפואת שיניים, באוניברסיטה העברית, הדסה ירושלים, שם גם השלים את התמחותו באורתודונטיה וכן סיים בהצטיינות את לימודי המסטר ברפואת שיניים.

ד"ר רומנו הינו מומחה ליישור שיניים ולסתות והוא בעל מרפאה פרטית בתל אביב, המתמקדת בטיפול במבוגרים ובילדים באמצעות טכנולוגיות ושיטות טיפול מן המתקדמות ביותר בעולם. הוא בעל דרגה DIAMOND II באינביזליין (דרגה הניתנת לכ-1% מהאורתודונטים בעולם)  ואחד הבודדים בארץ שטיפל במלעלה מ-2000 מקרי אינביזליין. 

ד"ר רומנו כיהן בעבר כיו"ר האגודה האורתודונטית בישראל. כמו כן הוא שימש כחבר ועד המנהל של הפדרציה הבינלאומית לרפואת שיניים אסתטית, והינו חבר מלא באקדמיה האירופאית לרפואת שיניים אסתטית EAED מזה למעלה מ-25 שנה.

ד"ר רומנו משמש בוחן מטעם משרד הבריאות להסמכת מומחים לאורתודונטיה וכן שימש כמדריך קליני וכפרופסור אורח במחלקות אורתודונטיות בארץ ובחו"ל.

תורים לשיננית-חדש!
הסרת אבנית וניקוי השיניים הם חלק בלתי נפרד מהטיפול האורתודונטי. תזוזת השיניים גורמת לפעילות של בניה וספיגה של עצם והיא צריכה להתבצע בסביבה בריאה ונקייה. יש צורך בביקור אצל השיננית לפחות אחת לשלושה חודשים במהלך כל הטיפול. גם לאחר הטיפול, אנחנו ממליצים גם לאחר סיום היישור להמשיך לבוא לשיננית במרפאתנו על מנת שהיא תוכל לבדוק את תקינות הפלטות לשימור, תקינות הקיבועים ועמדת השיניים.

פתחנו עבורכם את האפשרות לקבוע תור לשיננית באמצעות קישור דיגיטלי. אנחנו מזכירים שיש חשיבות לקביעת תור לשיננית אחת לחודשיים שלושה במהלך הטיפול האורתודונטי. ניתן לנצל "חבילות שיננית" גם לבני משפחה שלא נמצאים כרגע בטיפול.
קביעת התור והאישור הם דיגיטלים ומומלץ לבצע חיפוש תורים לעיתים קרובות כיוון שכל תור שמתבטל מתעדכן בקישור.
לקביעת התור יש להיכנס לקישור…  

אודות המרפאה

מרפאת ד"ר רפי רומנו, עוסקת ביישור שיניים ולסתות מאז שנת 1992.

המרפאה עוסקת בכלל הטיפולים האורתודונטים ומקפידה על שימוש בכל הטכנולוגיות המובילות בעולם.

מרפאתנו מתמקדת בטיפולים אסתטיים לילדים ולמבוגרים ומקפידה לעזור למטופלים לעבור את הטיפול האורתודונטי בדרך הנעימה והקלה ככל הניתן.

אנו מאחלים לכם גלישה נעימה.

בברכה, ד"ר רפי רומנו וצוות המרפאה.

לפרטים נוספים כולל דרכי הגעה לחץ כאן…Info

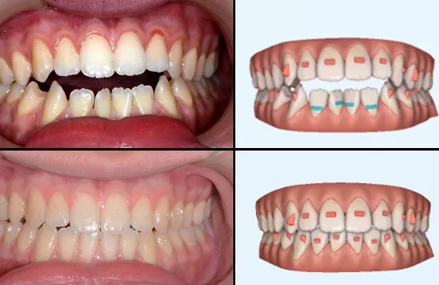
קשתיות שקופות

בשנים האחרונות הטיפול האורתודונטי באמצעות קשתיות השקופות נהיה נפוץ בכל העולם. הטכנולוגיה באמצעותה ניתן לתכנן את הטיפול בממשק תלת ממד ולחזות בצורה מדוייקת את תוצאות הטיפול ואת מהלכו, הפכו את הקשתיות לשיטה המועדפת שעוזרת להגיע לתוצאות הרצויות בצורה מהירה יותר, יעילה יותר ומדוייקת יותר. לפרטים נוספים אודות הקשתיות השקופות לחץ כאן… Aligners

Froggy Mouth- מכשיר לטיפול בדחיקת לשון

מכשיר מסוג FROGGY MOUTH נועד לתרגל את שרירי השפה ואת המיקום הנכון של הלשון. יש להשתמש במכשור 15 דקות ביממה, ברציפות, כאשר הגוף זקוף והראש ישר עם מבט קדימה, רצוי לכיוון מסך טלוויזיה או מחשב. לצפייה בסרטון הסבר על השימוש במכשיר לחץ כאן…
י
בואנים: מדאורד 3D

תהליך הבדיקה במרפאה- סרטון הסבר

קשתיות שקופות- סרטון הסבר

דחיקת לשון קדמית- גורם משמעותי לליקוי סגר וגורם מרכזי לנסיגה בתוצאות הטיפול. לצפייה, לחץ מטה:

עזרה ראשונה

תקלות בקיבועים

קיבוע הוא חלק מתהליך של שימור התוצאה של טיפול אורתודונטי שבוצע בעבר. כאשר קיבוע מתנתק, יש לאבחן מה הסיבה להתנתקות, מה מצב הסגר הנוכחי, האם שיניים זזו וכדומה.  מצ"ב הסבר אודות תקלות בקיבועים. אנחנו ממליצים לצפות בסרטון שנותן מידע רב אודות הסיבות להתנתקות הקיבועים ודרכי הטיפול המומלצות.  

נא עיין באפשרויות השונות לעזרה ראשונה. ניתן להתייעץ איתנו ע"י שליחת תמונה באמצעות כפתור הווטסאפ שבאתר.

הנני מעוניין/ת להירשם לניוזלטר לקבלת טיפים

דילוג לתוכן